Акция 12 000 вместо 15 000 весь май
0%
рассрочка
до5
лет
расширенная
гарантия*
15
лет
опыта
Нажимая на кнопку, вы даете согласие на обработку своих персональных данных
* На усмотрение доктора
Восстановление зубов в сжатые сроки
Высокая надёжность и прочность
Не темнеют и не тускнеют даже после 10 лет использования
Фото и подбор улыбки
Врач делает фото пациента, а затем подбирает форму зубов в специальной программе «Дизайн улыбки»
1
Подготовка
Врач по специальной технологии подготавливает зубы к сканированию, эмаль слегка обрабатывается бором
2
Сканирование
Врач сканирует поверхность зубов
3
Моделирование
Врач моделирует будущие виниры в компьютерной программе
4
Вытачивание
Вытачивание виниров на программном станке. Глазурование, придание цвета и блеска
5
Фиксация
Виниры устанавливаются на специальный прочный цемент
6
Осмотр состояния полости рта
Консультация профильных специалистов
(ортопеда, хирурга, ортодонта, парадонта)
Составление плана лечения
Составление сметы лечения
БОНУС! Бесплатный цифровой подбор улыбки!
Очень хорошая клиника. Красивый интерьер, домашняя обстановка, чуткое отношение администратора, всегда предложат кофе/чай. Мне здесь восстанавливали зуб новыми технологиями. За какие-то два часа у меня появился новый зуб. Большое спасибо доктору, советую всем эту клинику!
читать полностью
Просто немного фактов: 1) пломба на одном из передних зубов подобрана настолько хорошо, что я сама не могу её обнаружить даже при пристальном рассмотрении в увеличивающее зеркало, 2) зуб с глубоким опоясывающим кариесом, на котором я уже поставила крест и морально готовилась как минимум к протезированию, удалось спасти и оставить в живых нерв, 3) собственно кабинет протезирования — это практически центр управления космическими полётами: вместо слепка зубов — сканирование и выстраивание высокоточной 3d-модели, которая затем воплощается в керамике. Ну, и 4) здесь же лечили зубы муж, свекровь, а теперь ещё и мама, и для всех действует «семейная» скидка.
читать полностью
У меня была проблема: зуб был под металлической коронокой, состояние её было плачевное. Меня давно напрягала эта проблема. Я узнала, что в клинике «Доктор Дент» можно поставить коронку за одно посещение. Пришла на консультацию. Там мне подробно рассказали о процедуре, показали аппарат, на котором будет изготавливаться коронка. Пока я пила кофе, специалисты клиники сделали коронку. Установка прошла быстро, и вот, всего за одно посещение я избавилась от проблемы, которая давно меня мучила! Спасибо доктором клиники «Доктор Дент»! Всем рекомедую!
читать полностью
Хочу сказать большое спасибо Дмитрию Николаевичу за первоклассную работу! Один зуб в нижнем ряду был почти полностью разрушен, это вызывало неудобство и стеснение. По совету знакомых я обратился в клинику. Всего около 2 часов потребовалось на работу, и вот я уже выхожу из клиники с новым зубом. Желаю успеха и процветания клинике «Доктор Дент»!
читать полностью
Спасибо огромное коллективу клиники «Доктор Дент»! Мы всей семьёй доверяем только вашим рукам. Хочу выразить особую благодарность Романовой Оксане Александровне, очень нежная, мягкий подход, при этом безупречный и профессиональный! Редко найдёшь такого доктора! Дмитрий Николаевич чёткий и оперативный, настоящий профи!!! Спасибо за красивые и здоровые зубки! От мужа отдельное. Спасибо Ларисе Владимировне, жаль, что Вы бываете здесь редко! Удачи и процветания!
читать полностью
Очень благодарна за выполненную работу, довольства и всех благ коллективу клиники, успехов и процветания. И личная благодарность Дмитрию Николаевичу. Спасибо!
читать полностью
Здоровья, здоровья и ещё раз здоровья. И много, много благодарных пациентов!
читать полностью
Романова Оксана Александровна
Стоматолог-терапевт
Смирнова Людмила Игоревна
Врач стоматолог-терапевт
Романова Оксана Александровна
летстаж
Стоматолог-терапевт
Специализация:
Цифровая стоматология
Терапия
Гигиена
Лазерная стоматология
Лечение дёсен
Смирнова Людмила Игоревна
летстаж
Стоматолог-хирург
Специализация:
Цифровая стоматология
Терапия
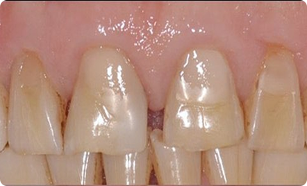
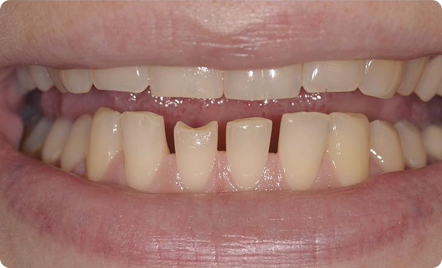
Пациентка обратилась с жалобами на промежутки между нижними резцами и их стираемость. Специалисты нашей стоматологической клиники предложили решение: закрыть промежутки и восстановить форму зубов винирами (тонкими металлическими пластинками). Всего за одно посещение мы выполнили всю работу — от обработки зубов и до фиксации.
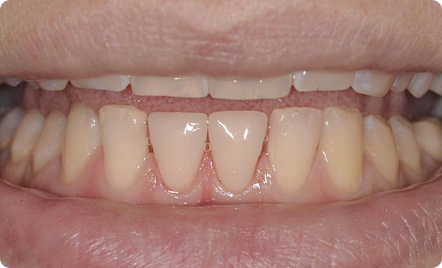
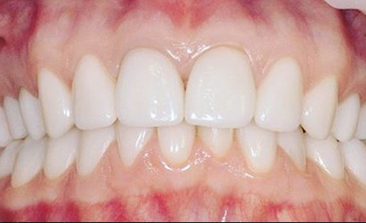
Пациент обратился с жалобами на эстетический недостаток фронтальных зубов. Мы предложили решение: восстановление эстетики керамическими винирами E.max. Зубы 1.3, 1.2, 1.1, 2.1, 2.2, 2.3 были минимально обработаны и покрыты тонкими керамическими винирами. Вся работа была выполнена за ОДНО посещение!
На все зубы установлены керамические виниры E.max. Цвет Bl-2. Вся работа, от препарирования и до постановки выполнена за 2 недели.
14,13,12,11,21,22 - покрыты керамическими винирами E.max. Данную работу выполнили за ОДНО посещение!!!(4,5 часа). Благодаря технологии Cerec - такое возможно.
Поставили виниры и люминиры e.max-cad на все передние зубы Всю работу выполнили за 3 дня - на аппарате Cerec.
Можете оставить заявку на звонок и мы
с вами свяжемся в удобное для вас время
г. Омск, ул. Крупской, д. 8, к. 1
Пн—Пт: 9:00—20:00
Сб: 9:00—15:00